Locate Us

Teeth Gap Filling Guide: How to Close a Diastema

tooth leaning right tooth leaning left big tooth big tooth
10_Gaps between teeth

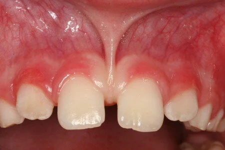
What Is a Diastema (Teeth Gap)?

A diastema is a space between two teeth, most commonly the upper front teeth (midline diastema). The term typically applies when the gap is noticeable and wider than 0.5 mm. It’s often first noticed in childhood, especially during the transition from baby teeth to permanent teeth. In adults, gaps may persist or develop due to gum disease, bite misalignment, or missing teeth. While some gaps are harmless, others can be linked to functional concerns. Some people embrace the gap as a distinctive feature, while others choose to close it for aesthetic or dental health reasons.

What Is a Teeth Gap Filling?

A teeth gap filling is a general term for closing the space between teeth. Dentists may use composite bonding, veneers, or teeth-straightening treatments depending on the cause and size of the gap. Some methods work by reshaping teeth, others by gently moving them into place. Your dentist will recommend what’s suitable after examining your bite, gums, and overall dental health.

Teeth Gap Causes

Teeth Gap Filling Benefits

 

  • Better oral hygiene: Closing gaps reduces areas where food and plaque can get trapped, making daily cleaning easier and more effective.
  • More balanced bite: When gaps are closed, chewing forces are spread more evenly across your teeth, which can reduce strain on certain teeth and the jaw.
  • Clearer speech: Some gaps can affect how certain sounds are pronounced. Closing them may improve speech clarity for some people.
  • Lower risk of gum problems: Open spaces can expose gums to irritation from food and bacteria. Filling gaps helps protect the surrounding gum tissue.
  • Reduced risk of tooth movement: When there’s extra space, nearby teeth can gradually drift out of place. Over time, this may lead to crowding, bite changes, or difficulties with cleaning and flossing properly.
  • Protection for tooth surfaces: Bonding or veneers can add a protective layer to exposed areas on the tooth’s surface, helping reduce wear or chipping, especially in cases where teeth are small or uneven

Signs You May Need to Have a Teeth Gap Filling

  • Food gets trapped between your teeth often: If this happens almost daily, it could increase the risk of cavities or gum inflammation around the gap. Your dentist can assess if the space needs to be closed or monitored.
  • You feel sharp pain or sensitivity when eating: If you experience discomfort every time you eat hot, cold or sweet food, it may indicate issues with an existing filling or exposure of sensitive tooth surfaces.
  • The gap between your teeth is getting wider: If the space appears to grow over two to three months, it could be due to gum problems, tooth movement, or missing teeth shifting nearby. Early treatment can prevent complications.
  • You notice chipping, staining or rough edges in the area: If this occurs within one to two years after composite bonding, your filling may need touch-ups or replacement to restore appearance and function.
  • Food frequently gets stuck in or around a filled tooth: If this happens more than once a week, especially in the same spot, it may point to a gap between the filling and the tooth, allowing bacteria in. A dentist can adjust or replace the filling.
  • You had a previous filling and the area now feels different: If chewing feels uneven or pressure-sensitive within a few days to a week after the procedure, your bite may need to be rebalanced.
  • Your gums near the gap bleed easily: If you see bleeding every time you brush or floss, it may signal gum irritation due to plaque trapped in the space. A gap filling can help prevent long-term gum issues.

Experiencing sharp pain, sensitivity to hot or cold foods, or food getting trapped in or around a filled tooth may point to an issue with the filling itself. Left untreated, these problems can lead to complications like decay or even a dental abscess, so early dental attention is important.

If you’re unsure whether a teeth gap filling is right for you, it’s best to consult a qualified dental professional. They can assess your oral health and recommend suitable options based on your needs.

This information is meant for educational purposes and should not replace professional dental advice. For a personalised evaluation, please speak with your dentist.

Teeth Gap Filling Treatments

Direct Fillings

The teeth gap is filled in a single visit using materials shaped and hardened in the mouth. These are often suitable for small to medium gaps.

  • Composite Resin Fillings: Commonly used to close small gaps, especially between front teeth. Resin is applied in layers, shaped, and cured with a light. Colour-matched to blend naturally with adjacent teeth.
  • Resin Ionomer Fillings: A blend of glass and resin materials. Releases fluoride and bonds chemically with the tooth. Suitable for low-stress areas, such as minor gaps near the gumline or root surface.
  • Glass Ionomer Fillings: Fluoride-releasing. Often used in non-biting areas or for temporary gap management in young patients.

Indirect Fillings

Custom-made in a dental lab, these are used when the gap is larger, or when additional tooth shaping, strength, or aesthetics are required. Typically placed over two visits unless your dentist uses CAD/CAM technology for same-day fitting.

  • Porcelain Inlays or Onlays: Designed to close gaps and reshape teeth with long-lasting, natural-looking results. Porcelain is stain-resistant and blends with natural enamel. This may be used for gaps in visible areas or when the surrounding teeth require cosmetic enhancement.
  • Ceramic Fillings: Made entirely of porcelain-based materials. Often chosen for visible teeth that need aesthetic reshaping in addition to gap closure.
  • Gold Fillings: Rarely used for cosmetic gap filling because their noticeable metallic colour may not be suitable for everyone, especially in areas of the smile. However, they remain a reliable option for back teeth due to strength and durability. The filling is shaped in the lab and bonded into place during a second visit. 

Non-Invasive Options

These are typically used when the gap is small and the surrounding teeth are otherwise healthy.

  • Composite Bonding: A tooth-coloured resin is applied and shaped to blend in naturally. It’s often a quick, one-visit procedure and doesn’t require drilling, as the material is then cured using a special blue light. The resin is carefully sculpted to close gaps and match the natural shape and contour of your teeth.
  • Cosmetic Contouring: In some cases, the shape of your teeth can be slightly adjusted to improve spacing and alignment.
  • Porcelain Veneers: Custom-made, ultra-thin shells that cover the front of your teeth to mask gaps and improve shape. While they typically require the removal of a small amount of enamel, veneers are more durable and longer-lasting than bonding.
  • No-Prep Veneers: A type of ultra-thin porcelain veneer designed to be applied directly to the teeth without the need for drilling or enamel removal. They offer a less invasive option for patients looking to improve the appearance of their smile without altering their natural tooth structure.

Orthodontic Treatments

If your teeth have shifted or the gap is due to alignment issues, orthodontic care may be the most appropriate or recommended approach.

  • Braces: Traditional braces use wires and brackets to gently move your teeth over time. They may be suitable for moderate to larger gaps.
  • Invisalign or Clear Aligners: These are removable trays that gradually guide teeth into better positions. Many patients prefer them for their discreet appearance.
  • Frenectomy: A minor surgical procedure that removes or loosens the frenum (a small fold of tissue) to help teeth move or stay in place, often used with braces to close front teeth gaps.

Restorative Solutions

If the gap is due to a missing or severely damaged tooth, your dentist may recommend a restorative option to restore both appearance and function.

  • Crowns: A crown may be used to rebuild the shape of a tooth and close minor gaps, especially if the tooth has been weakened by decay or trauma.
  • Bridges: A dental bridge fills the gap left by a missing tooth, using neighbouring teeth for support.
  • Dental Implants: Implants replace missing teeth by anchoring a replacement tooth directly into the jawbone. This option requires a thorough assessment of your bone and gum health.
  • Full Dentures: Designed for patients who have lost all their natural teeth in either the upper or lower jaw, full dentures are a complete set of removable teeth that restore both function and appearance.
  • Partial Dentures: These are removable appliances that replace one or more missing teeth and help restore your ability to chew and speak comfortably.

Types of Teeth Gap Fillings

Small teeth gap filling

For minor gaps, usually closed with composite resin. Often done in one visit.

Permanent teeth gap filling

Best suited for adult teeth, as their size and position have stabilised. Depending on the gap, treatment may involve resin, veneers, or braces.

Front teeth gap filling

Focuses on the visible gap between your upper front teeth. Popular choice for aesthetic reasons.

Side teeth gap filling

For gaps between premolars (flat teeth for chewing) or molars (back teeth for grinding). May need stronger materials like crowns or orthodontics.

How to Choose the Right Teeth Gap Treatment

There’s no one-size-fits-all solution for filling a teeth gap. Your ideal treatment depends on several factors, including the size and location of the gap, your age, bite alignment, and whether any underlying conditions need to be addressed. Here’s what to consider:

Size of the Gap

  • Small gaps (less than 2 mm): These are often treatable with dental bonding or veneers, especially if aesthetics are your main concern.
  • Moderate to large gaps: You may benefit more from orthodontic options like clear aligners or braces, which gradually move teeth into a better position.

Location of the Gap

  • Front teeth (aesthetic zones): Cosmetic solutions like bonding or veneers can help reshape the teeth and close the space for a more balanced smile.
  • Side or back teeth: These gaps often affect your bite and chewing efficiency, so orthodontics may be needed to ensure proper alignment and long-term stability.
  • Gaps around canine or baby teeth: If a baby tooth remains or an adult tooth is missing, treatment may involve preserving and reshaping the baby tooth, or exploring tooth replacement options depending on your dentist’s assessment.

Tooth Size and Shape

If your lateral incisors (the teeth beside your front ones) are smaller or peg-shaped, this may throw off the proportions of your smile. In these cases, cosmetic bonding or veneers can restore proper size and symmetry, often in a single visit.

Underlying Causes

  • Frenulum obstruction: A thick piece of tissue between your front teeth (called the labial frenulum) may prevent the gap from closing naturally. If this is the cause, your dentist might suggest a frenectomy - a minor procedure to remove or reshape this tissue - followed by aligners or bonding to close the gap.
  • Jaw and tooth size mismatch: If your teeth are smaller relative to your jaw, gaps may form across multiple areas. Here, aligners or braces may help adjust your dental arch, followed by cosmetic refinements.

Age and Jaw Development

  • Children (under 12): Gaps often close naturally as adult teeth emerge. Your dentist may recommend monitoring rather than immediate treatment.
  • Teens and adults: Treatment typically focuses on long-term correction, using braces, aligners, or cosmetic solutions depending on the case.

Oral Health Condition

Active issues like gum disease or tooth decay need to be treated before closing any gaps.  If there’s structural damage, your dentist may suggest crowns or a combination of restorative and cosmetic procedures.

Bite Considerations

If you have gaps mainly in your upper teeth, closing them entirely may alter your bite.
In such cases, some spaces may need to be preserved, especially near the back teeth, to prevent the upper teeth from overlapping the lower teeth unnaturally. Your dentist may recommend a staged approach, combining aligners with bonding.

Here’s a table of diastema treatment options:

Factor Common Scenarios Possible Treatment Options Additional Considerations
Size of the Gap - Gaps less than 2 mm
- Gaps greater than 2 mm
- Dental bonding or veneers
- Braces or aligners
Treatment choice may vary based on gap size and dental goals
Location of the Gap - Front teeth
- Side or back teeth
- Gaps around baby or canine teeth
- Cosmetic treatments such as bonding or veneers
- Orthodontic options
- Reshaping or replacement depending on assessment
Function and aesthetics are both considered in treatment planning
Tooth Size and Shape Peg-shaped or small lateral incisors Cosmetic options such as bonding or veneers May involve reshaping for visual balance
Underlying Causes - Presence of a labial frenulum between front teeth
- Teeth smaller than jaw size
- Minor surgical procedure (e.g. frenectomy) followed by aligners or bonding
- Orthodontic treatment
A clinical assessment is required to determine underlying cause
Age and Jaw Development - Children under 12
- Teens and adults
- Monitoring for natural changes
- Orthodontic or cosmetic options based on age
Jaw development stage may influence treatment timing
Oral Health Condition Presence of gum disease, tooth decay, or damage Restorative treatment before cosmetic/orthodontic steps Initial treatment is focused on stabilising oral health
Bite Alignment Gaps mainly in upper arch or near back teeth - Aligners
- Selective spacing adjustments
Changes to spacing may influence bite and require a staged approach

Have questions about your teeth gap?

A licensed dental professional can help assess your unique situation and explain the available treatment options. Schedule a dental consultation to learn more.

Teeth Gap Filling Procedure

Before the Procedure

  • Initial assessment: Your dentist will examine your teeth and gums to determine the best treatment for your gap.
  • Health Checks: They’ll check for issues such as tooth decay, gum disease, or bite problems that could affect the outcome of your treatment.
  • Preparation Steps: Depending on the treatment, your dentist may take X-rays to assess the underlying bone structure, dental impressions to design restorations, or help you select the right shade if composite resin or veneers are being used. Your dentist will explain what’s needed based on your individual case.
  • Treatment discussion: Expect a clear explanation of treatment options, timelines, costs, and aftercare.

During the Procedure

  • Cleaning and preparation: Your teeth will be cleaned and prepped for treatment.
  • Application of treatment: The dentist will apply bonding, veneers, or orthodontic appliances, depending on the chosen method.
  • Shaping or positioning: Materials or appliances will be adjusted to close the gap as clinically intended.
  • Procedure specifics: May involve light curing, appliance fitting, or mild anaesthesia if needed. Most treatments take 30–90 minutes per tooth.

After the Procedure

  • Diet care: Avoid hard or sticky foods for the first 24 hours if composite was used.
  • Oral hygiene: Brush and floss gently around the treated area.
  • Braces or aligners: Follow care instructions closely and wear retainers after treatment to maintain results.
  • Maintenance: Composite fillings may need touch-ups every 5–10 years. Let your dentist know if you notice chipping, staining, or shifting.

Teeth Gap Filling Risks

 

  • Filling separation from the tooth (microleakage): Sometimes the material pulls away from the tooth a bit in the first days, leaving a small opening. That space can let bacteria in and may lead to decay if not fixed soon.
  • Damage to the filling: The new filling can chip, crack, or fall out if you bite something hard too soon (typically within the first 24 to 48 hours after placement). This happens more often in the first day or two while the material sets.
  • Gum irritation: The filling or bonding process might irritate your gums for a bit, causing mild swelling or redness near the area.

Careful tooth surface preparation and appropriate bonding materials are used to support the durability of the filling. You’ll also receive personalised aftercare instructions, including foods and habits to avoid in the first few days, to help your filling heal and stay in place.

Teeth Gap Filling Complications

  • Bite misalignment: A filling that’s not shaped right affects how your teeth meet when you bite. That can cause jaw discomfort or uneven wear on nearby teeth.
  • Secondary decay: If bacteria become trapped around the edges of a filling over time, decay can develop beneath or next to the restoration without being immediately visible. This may require replacement of the filling or further treatment.

The filling is shaped and checked against your bite as part of the treatment process. During your follow-up visit, we monitor for early signs of bite misalignment, so adjustments can be made before problems arise.

Gap-min

Teeth Gap Filling Cost in Singapore in 2026

The choice of teeth gap filling depends on your orthodontic needs, comfort preferences, and maintenance routine. Fees listed are indicative and may vary based on clinical assessment and treatment needs.

Treatment Type Estimated Cost Range
Direct Fillings
Composite Resin Fillings SGD $90 – SGD $300 per tooth
Resin Ionomer Fillings SGD $50 – SGD $220 per tooth
Glass Ionomer Fillings SGD $50 – SGD $220 per tooth
Indirect Fillings
Porcelain Inlays/Onlays SGD $250 – SGD $800 per tooth
Ceramic Fillings SGD $250 – SGD $500 per tooth
Gold Fillings SGD $250 – SGD $600 per tooth
Non-Invasive Options
Composite Bonding SGD $160 – SGD $330 per tooth
Cosmetic Contouring SGD $900 – SGD $2,500 per tooth
Porcelain Veneers SGD $800 - SGD $2,000 per tooth (Standard market range for clinical transparency; actual fees vary by case complexity).
No-prep Veneers SGD $380 – SGD $1,000 per tooth
Orthodontic Treatments
Braces SGD $3,500 – SGD $12,000 per set
Invisalign or Clear Aligners SGD $3,000 – SGD $9,500 per set
Frenectomy SGD $600 - SGD $2,500+ per procedure
Restorative Solutions
Crowns SGD $300 – SGD $2,500 per tooth
Bridges SGD $650 – SGD $3,000+ per unit
Dental Implants SGD $2,500 - SGD $7,000 per implant
Partial Dentures SGD $360 – SGD $900 per arch

*All fees are subject to prevailing Singapore Goods and Services Tax.

*Fee adjustments may apply depending on the number of teeth treated.

To get the most up-to-date costs for your situation, please give our friendly team a call.

Are There Subsidies for Teeth Gap Fillings in Singapore?

MediSave

Cosmetic dental procedures like teeth gap filling are usually not covered by MediSave. This scheme focuses on medically necessary treatments, not appearance-related ones. However, if the gap filling is part of restorative work, such as fixing damage caused by injury or decay, partial coverage may be possible.

CHAS

CHAS subsidies generally apply to medically needed treatments. That said, if a filling restores function (e.g. after trauma), it may qualify. Subsidies are subject to clinical assessment and prevailing Ministry of Health (MOH) guidelines. Patients may present their CHAS or MediSave-linked cards to determine if their specific clinical case meets the criteria for subsidy coverage.

Dental Insurance

Dental insurance coverage varies. Some plans include fillings, while others exclude cosmetic procedures. It’s best to check your policy before starting treatment. Your dentist can help assess if your case qualifies for coverage.

How Nuffield Dental Can Help With Teeth Gap Fillings

 

  • Motor-driven surgical tools (where surgery is needed): Electric motor handpieces may be used for procedures such as gum reshaping or implant placement, with saline irrigation used during treatment.
  • Visual consultation using intraoral imaging: High-resolution intraoral cameras allow us to show you where your gaps are and explain treatment options clearly, so you can make informed decisions.
  • Structured in-house nurse training: All dental nurses receive formal training four times a year, plus regular in-house sessions by senior staff. Although not required in Singapore, we prepare our nurses to meet recognised DSA (Dental Surgery Assistant) standards, covering both theory and hands-on procedures.
  • Care quality monitoring: All staff undergo regular appraisals and training to help refine our clinical processes and support patient care standards.

If you’re considering filling a teeth gap - whether for looks, comfort, or oral health -  we invite you to speak with our dental team. Our dental team can explain the available options to support informed decision-making.

Preventing Teeth Gaps

Brush and floss regularly: Brush twice a day and floss daily to remove food and plaque. This helps prevent gum disease, which can cause teeth to shift and create gaps.

Try interdental brushes if flossing isn’t enough: For wider or awkward spaces, interdental brushes may work better than regular floss.

Focuses on the visible gap between your upper front teeth. Popular choice for aesthetic reasons.

See your dentist early if your gums bleed or feel sore: Bleeding or sore gums may seem like minor issues, but they can be early signs of issues that lead to tooth movement. Getting them checked early helps protect the bone and tissue that keep your teeth stable, reducing the risk of gaps developing over time.

Avoid thumb sucking or tongue thrusting (especially in children): These habits can push teeth forward and create gaps. If they continue beyond age four, consult your dentist for support in breaking the habit.

Have an orthodontic evaluation during childhood or adolescence: Early orthodontic assessments can identify alignment or bite issues before they become more complex. Timely intervention may prevent gaps from forming or worsening.

Fix small gaps early with braces or aligners: Treating gaps while teeth are still developing is often quicker and more effective.

Wear your retainer after braces: Skipping retainers can cause teeth to shift back and create new gaps.

Avoid extreme temperatures to minimise sensitivity: Try to avoid consuming foods or drinks hotter than 60°C (e.g. freshly brewed coffee or tea) or colder than 5°C (e.g. ice water or straight-from-freezer items). Sudden temperature changes can trigger sensitivity, especially after dental work.

Our Team of Dentists Behind General Dentistry

View More

At Nuffield Dental clinic, your dental needs are cared for by our dedicated team of dentists.

Dr Faisal Bin Abdul Aziz

Specialisation

General Dentistry

Training

BDS (London)

Dr Steffi Soh Yu Hui

Specialisation

General Dentistry

Training

BDS (Adelaide)

Dr Narinder Kaur

Specialisation

General Dentistry

Training

BDS (Singapore)

Dr Seetoh Yu Fang

Specialisation

General Dentistry

Training

BDS (Adelaide)

Dr Lim Mei Xian

Specialisation

General Dentistry

Training

BDS (New Zealand)

Dr Bruce Lee Ziahern

Specialisation

General Dentistry

Training

BDS (UK)

Dr Loughran Peter Joseph

Specialisation

General Dentistry

Training

BDS (UK)

Dr Lee An Qi

Specialisation

General Dentistry

Training

BDS (Singapore)

Dr Annaajihah

Specialisation

General Dentistry

Training

BDS (Adelaide)

Dr Tho Loo Yee

Specialisation

General Dentistry

Training

BDS (Singapore)

Dr Hanna Aslam

Specialisation

General Dentistry

Training

BDS (UK)

Dr Lai Juen Bin

Specialisation

General Dentistry

Training

BDS (Singapore)

Dr Tiju Krishnan

Specialisation

General Dentistry

Training

BDS (Glasgow)

Dr Wu Shilin Serene

Specialisation

General Dentistry

Training

BDS (Singapore)

OHT Rebecca Siow Hui Lin

Specialisation

General Dentistry

Training

Diploma in Oral Health (NYP)

Dr Anusha Chopra

Specialisation

General Dentistry

Training

BDS (UK)

FAQs

Do gaps between teeth get bigger with age?

angle-down

In most healthy mouths, gaps between teeth do not naturally widen simply because of aging. However, changes in gum health, bone support, wear and tear, tooth loss, or other factors can lead to slight shifts in spacing over time. Regular dental check-ups and good oral care help detect and manage any changes early.

Can teeth gaps close naturally over time?

angle-down

In children, small gaps sometimes close as permanent teeth grow in. For adults, gaps almost never close up without some kind of treatment. If gum disease or a big frenum (small fold of tissue connecting lips, cheeks, or tongue) causes the gap, it might even get wider as time goes on.

Can I close my teeth gaps by myself at home?

angle-down

Teeth gaps should not be treated using home or DIY methods. Closing gaps safely requires proper assessment and clinical techniques. A dentist can advise whether treatment is appropriate and which option may be suitable.

How long do teeth gap fillings last?

angle-down

That really depends on what you choose. Dental bonding usually holds up for about 3 to 10 years if you take care of it. Veneers may last between 10 to 20 years, while dental implants may last 20 years or more, depending on individual health and maintenance. Seeing your dentist regularly and keeping up with brushing and flossing definitely helps treatments last.

Are teeth gap fillings painful?

angle-down

Discomfort levels vary, and many procedures are performed with measures to improve patient comfort. Dental bonding often doesn’t even need anaesthesia unless the dentist has to prep the tooth. For veneers or other treatments, your dentist might use a local anaesthetic to keep things comfortable.

How soon can I eat after the procedure?

angle-down

With bonding, eating is usually possible soon after treatment, though dietary precautions may be advised.  After getting veneers, just wait until any numbness goes away before you eat.

Does flossing create gaps in teeth?

angle-down

No, flossing doesn’t create gaps. It removes plaque and food between teeth, helping prevent gum disease and recession, both of which can lead to gaps. If gums bleed or feel swollen at first, that’s usually a sign of inflammation, not damage from flossing.

Can children outgrow teeth gaps?

angle-down

Yes, gaps in children are often temporary. They usually close as adult teeth come in. However, if gaps persist after age 12-13, it’s worth seeing an orthodontist to check whether early treatment might be needed for proper alignment.

Medical References

Abrahams, R., & Kamath, G. (2014). Midline diastema and its aetiology–a review. Dental update, 41(5), 457-464.

medical-appointment 1

Book an Appointment

Fill out the form for any request or questions you have and we will contact you within one working day.

Cost Of Root Canal Treatment In Singapore

implants

Cost Of Root Canal Treatment In Singapore

Root Canal Treatment Cost

The price varies according to the unique treatment prescribed to each individual patient. For example, if a root canal treatment is require for more than one root, the cost would go up as well. However, saving the tooth with a Root Canal treatment is relatively cost-efficient in the long run. 

 

A Root Canal Treatment procedure in Singapore's price ranges from S$500 - S$1700. However, the price may or may not include the crowning of the tooth and consultation charges. Average consultation prices of dental services in Singapore ranges from S$75- S$200. 

Root Canal Treatment FAQs

Is a Root Canal Treatment procedure painful?

 

  • The entire procedure will be done under local anaesthesia, so it will not be painful than getting your tooth filled or a wisdom tooth surgery. However, the affected area may cause discomfort and be slightly sore post-surgery but it goes away after a few days. 
  • If the pain persists, please consult our doctor immediately. You can reach us at +65 9839 7363.

    Can I go about my day to day activities after a Root Canal Treatment? 

  • Most patients are able to return to school or work the next day following a Root Canal Treatment. However, it is advised against eating immediately post-surgery as there may be numbness in the affected area. 


What are the side effects of a Root Canal Treatment?

  • The side effects of a Root Canal Treatment differs with each individual. Some people may experience pain or a slight soreness post-surgery, and some people may experience little to no pain at all. This also applies to certain patients experiencing a measured amount of sensitivity associated to cold or heat when consuming food or beverages. 

What is the aftercare for a Root Canal Treatment? 

 

  • As a Root Canal Treatment is considered a restorative procedure, the after-care is deemed crucial to experience lasting effects. After your procedure, your dentist will send you home with pain-killers to counter the soreness you may feel when the anaesthesia wears off. It is also strongly advised against the consumption of food until the numbness wears off. Brushing and flossing daily is encouraged to keep the area clean and this in turn would prevent infection. Upon completing any follow-up appointments for the Root Canal Treatment, you may be required to return to the dentist for a final crown to fully restore the tooth. A properly treated and restored tooth can last as long as your natural teeth. 

Can a Root Canal Treatment be unsuccessful? 

 

  • A Root Canal Treatment has a 90% success rate of fully restoring your tooth. However. failure to fully restore your tooth can occur if there is a loose crown, tooth fracture or decay. Undetected canal branches or an obstruction that causes the cleaning difficulties may also cause a Root Canal Procedure to fail. Should your Root Canal Treatment be unsuccessful, explore options with Nuffield's Endodontist for possible solutions. 

 

Orchard Dental

Nuffield Dental Jewel
Wheelock Place501 Orchard Road #05-01 Singapore 238880

The Nuffield Dental Clinic Network In Singapore

Seletar Dental

Nuffield Dental Seletar
Greenwich V
1 Seletar Road #01-07/08
Singapore 807011

Kovan Dental

Nuffield Dental Kovan
Simon Plaza
2 Kovan Road #01-03
Singapore 548008

Serangoon Dental

Nuffield Dental Serangoon Gardens
Serangoon Garden Estate
57 Serangoon Garden Way
Singapore 555953

Siglap Dental

Nuffield Dental Siglap
The Domain
914 East Coast Road #01-03
Singapore 459108

Bedok Dental

Nuffield Dental Bedok
East Village
430 Upper Changi Road #01-64
Singapore 487048

Holland Village Dental

Nuffield Dental Holland Village
7 Holland Village Way #03-16
Singapore 275748

Jurong East Dental

Nuffield Dental Westgate
Westgate
3 Gateway Dr #04-32
Singapore 608532

HarbourFront Dental

Nuffield Dental HarbourFront
HarbourFront Centre
1 Maritime Square #02-64A
Singapore 099253

Orchard Dental

Nuffield Dental Jewel
Wheelock Place
501 Orchard Road #05-01
Singapore 238880

Raffles Place Dental

Nuffield Dental Raffles Place
One Raffles Place
1 Raffles Place #05-19
Singapore 048616

featured-logos-1
background image

Why Choose Nuffield Dental?

Nuffield Dental is a one-stop, multi-disciplinary dental care centre in Singapore. At Nuffield, we put you first. We believe in providing personalised service for each patient.

Dental care

Nuffield Dental is a one-stop, multi-disciplinary dental care centre. Here at Nuffield Dental, we pride ourselves of our personalised oral care for each and every one of our patients. We need to make sure you get all the help you need to make your dental procedures comfortable, accessible and seamless.

Root Canal Treatment

Our dentists have been accredited in root canal and oral surgery for 20+ years. We have accredited dental providers who are skilled in the area of dental implant surgery.

Articles

The newest and best lifestyle articles selected by our editorial team.

Mercury-Based Dental Fillings: Global Shifts and Nuffield Dental’s Clinical Approach

Why the Global Phase-Down Is Happening Mercury is listed by the WHO as one of the top ten chemicals of public health concern. In dentistry, the...

  • 17 Nov 2025
  • 2 mins read
Can dental amalgam be connected to brain fog, tiredness, or lethargy?

Current scientific evidence does not show a conclusive connection between intact dental amalgam fillings and symptoms such as brain fog, chronic...

  • 17 Nov 2025
  • 2 mins read
Why Do We Have to Wait Until 2034 to Phase Out Amalgam?

The Minamata Convention on Mercury established 2034 as the global target year to end the use of dental amalgam. While this may seem gradual, the...